Наши работы — примеры успешного протезирования и эстетической стоматологии | Стоматология DHC (Dental Health Centre)
Размер шрифта
Цвет фона и шрифта
Изображения
Озвучивание текста
Обычная версия сайта
Стоматология «DHC»
Стоматологический Центр
Dental Health Centre
+7 (495) 021-94-04
+7 (495) 021-94-04
Заказать звонок
E-mail
info@dhcentre.ru
Адрес
г. Москва, Пресненская набережная, 12
Режим работы
пн-сб 9:00-21:00
Мы в соцсетях
Купить подарочную карту Онлайн оплата Онлайн запись

Запись онлайн
Услуги
  • Имплантация зубов под ключ
    • Зубы за 1 день
    • Имплантаты Ankylos
    • Имплантаты Medentika
    • Имплантаты MIS
    • Имплантаты SGS (Швейцария)
    • Имплантаты XIVE
    • Имплантация Neodent
    • Имплантация Straumann
    • Имплантация двух зубов
    • Имплантация одного зуба
    • Имплантация передних зубов
    • Мини-импланты
    • Навигационная имплантация зубов IMPNAV 3D
    • Скуловая имплантация
    • Экспресс-имплантация зубов
  • Протезирование зубов
    • Несъемные протезы
    • Съемные протезы
    • Сплинт-терапия
    • Установка накладок на зуб
  • Протезы на имплантах
    • Коронки на имплантах
    • Бюгельный зубной протез
    • Имплантация зубов All-on-4
    • Имплантация зубов All-on-6
    • Мостовидный протез
    • Покрывной зубной протез
    • Съемные зубные протезы
  • Консультация врача-стоматолога
    • По направлениям
    • Онлайн консультация стоматолога
    • Первичная консультация стоматолога
  • Профессиональная гигиена и отбеливание
    • Профессиональная гигиена (чистка зубов)
    • Домашнее отбеливание зубов
  • Рассрочка на лечение зубов
    • Имплантация зубов в рассрочку
    • Имплантация All-on-4 в рассрочку
    • Рассрочка на протезирование зубов
    • Рассрочка на брекеты
    • Рассрочка для детей и подростков
    • Виниры в рассрочку
    • Коронки на зуб в рассрочку
    • Элайнеры в рассрочку
  • Эстетическая стоматология
    • Виниры для зубов
    • Вкладки на зубы
    • Внутриканальное отбеливание зубов
    • Голливудская улыбка
    • Капы для отбеливания зубов
    • Керамические виниры
    • Композитные виниры для реставрации зубов
    • Люминиры на зубы
    • Отбеливание зубов
    • Отбеливание зубов Opalescence
    • Пломбирование зубов
    • Художественная реставрация зубов
    • Эстетическая стоматология
  • Ортодонтия
    • Брекеты
    • Исправление прикуса
    • Элайнеры
  • Терапия
    • Герметизации фиссур зубов
    • Депульпирование зуба
    • Лечение гранулемы
    • Лечение кариеса
    • Лечение кисты зуба
  • Эндодонтия
    • Лечение периодонтита
    • Лечение пульпита
    • Пломбирование каналов зуба
    • Удаление нерва зуба
    • Чистка каналов зуба
    • Эндодонтическое лечение зубов
  • Пародонтология
    • Кюретаж десен
    • Лечение гингивита
    • Лечение пародонтита
    • Лечение пародонтоза
    • Лечение стоматита
    • Плазмолифтинг
    • Шинирование зубов
  • Хирургическая стоматология
    • Наращивание костной ткани
    • Наращивание и пластика ткани на десне
    • Удаление зубов
    • Гемисекция корня зуба
    • Иссечение капюшона
    • Кюретаж лунки зуба
    • Лечение альвеолита
    • Лечение гранулемы зуба
    • Лечение периостита (флюса)
    • Лечение свища на десне
    • Пластика уздечки языка
    • Резекция верхушки корня
    • Удаление кисты зуба
    • Удаление корня зуба
    • Удаление экзостоза (нароста)
  • Детская стоматология
    • Гигиена и профилактика для детей
    • Детская стоматологическая хирургия
    • Лечение болезней зубов и десен
    • Ортодонтия у детей (исправление прикуса)
О клинике
  • О нас
  • Блог
  • Лицензии
  • Партнеры
  • Отзывы
  • Реквизиты
  • Корпоративным клиентам
  • ДМС
  • Вакансии
Команда
Акции
Цены
Наши работы
Контакты
Видео
Детская стоматология
Клубная программа
Стоматология «DHC»
Стоматологический Центр
Dental Health Centre
  • Пациенту
  • Карта сайта
  • 👨‍⚕️ Курсы для стоматологов
  • ...
    +7 (495) 021-94-04
    +7 (495) 021-94-04
    E-mail
    info@dhcentre.ru
    Адрес
    г. Москва, Пресненская набережная, 12
    Режим работы
    пн-сб 9:00-21:00
    Мы в соцсетях
    Купить подарочную карту Онлайн оплата Онлайн запись

    Услуги
    • Имплантация зубов под ключ
      • Зубы за 1 день
      • Имплантаты Ankylos
      • Имплантаты Medentika
      • Имплантаты MIS
      • Имплантаты SGS (Швейцария)
      • Имплантаты XIVE
      • Имплантация Neodent
      • Имплантация Straumann
      • Имплантация двух зубов
      • Имплантация одного зуба
      • Имплантация передних зубов
      • Мини-импланты
      • Навигационная имплантация зубов IMPNAV 3D
      • Скуловая имплантация
      • Экспресс-имплантация зубов
      • Еще
    • Протезирование зубов
      • Несъемные протезы      
        • Коронки
      • Съемные протезы      
        • Акриловые зубные протезы
        • Иммедиат-протез Бабочка
        • Нейлоновые зубные протезы
        • Протезы Акри-Фри
      • Сплинт-терапия
      • Установка накладок на зуб
    • Протезы на имплантах
      • Коронки на имплантах      
        • Коронка из диоксида циркония
      • Бюгельный зубной протез
      • Имплантация зубов All-on-4
      • Имплантация зубов All-on-6
      • Мостовидный протез
      • Покрывной зубной протез
      • Съемные зубные протезы
      • Еще
    • Консультация врача-стоматолога
      • По направлениям      
        • Консультация гигиениста
        • Консультация детского ортодонта
        • Консультация имплантолога
        • Консультация ортодонта
        • Консультация стоматолога-ортопеда
        • Консультация стоматолога-терапевта
        • Консультация стоматолога-хирурга
      • Онлайн консультация стоматолога
      • Первичная консультация стоматолога
    • Профессиональная гигиена и отбеливание
      • Профессиональная гигиена (чистка зубов)      
        • Механическая чистка зубов — с дополнительным уходом
        • Отбеливание зубов Zoom 4
        • Полировка зубов
        • Ультразвуковая чистка зубов
        • Чистка зубов «Air-flow»
        • Чистка и удаление зубного камня
      • Домашнее отбеливание зубов
    • Рассрочка на лечение зубов
      • Имплантация зубов в рассрочку
      • Имплантация All-on-4 в рассрочку
      • Рассрочка на протезирование зубов
      • Рассрочка на брекеты
      • Рассрочка для детей и подростков
      • Виниры в рассрочку
      • Коронки на зуб в рассрочку
      • Элайнеры в рассрочку
      • Еще
    • Эстетическая стоматология
      • Виниры для зубов
      • Вкладки на зубы
      • Внутриканальное отбеливание зубов
      • Голливудская улыбка
      • Капы для отбеливания зубов
      • Керамические виниры
      • Композитные виниры для реставрации зубов
      • Люминиры на зубы
      • Отбеливание зубов
      • Отбеливание зубов Opalescence
      • Пломбирование зубов
      • Художественная реставрация зубов
      • Эстетическая стоматология
      • Еще
    • Ортодонтия
      • Брекеты      
        • Безлигатурные брекеты
        • Лигатурные брекеты
      • Исправление прикуса      
        • Исправление глубого прикуса
        • Исправление мезиального прикуса
        • Исправление открытого прикуса
        • Исправление перекресного прикуса
        • Исправление прикуса у детей
      • Элайнеры      
        • Ретенционные каппы
        • Элайнеры 3D Smile
        • Элайнеры Flexilinger
        • Элайнеры Invisalign (Инвизилайн)
        • Элайнеры Star Smile (СтарСмайл)
    • Терапия
      • Герметизации фиссур зубов
      • Депульпирование зуба
      • Лечение гранулемы
      • Лечение кариеса
      • Лечение кисты зуба
    • Эндодонтия
      • Лечение периодонтита
      • Лечение пульпита
      • Пломбирование каналов зуба
      • Удаление нерва зуба
      • Чистка каналов зуба
      • Эндодонтическое лечение зубов
      • Еще
    • Пародонтология
      • Кюретаж десен      
        • Закрытый кюретаж
        • Лазерный кюретаж
        • Лоскутная операция
        • Открытый кюретаж
      • Лечение гингивита
      • Лечение пародонтита
      • Лечение пародонтоза
      • Лечение стоматита
      • Плазмолифтинг
      • Шинирование зубов
      • Еще
    • Хирургическая стоматология
      • Наращивание костной ткани      
        • Синус-лифтинг
        • Костная пластика
      • Наращивание и пластика ткани на десне      
        • Иссечение десны (гингивэктомия)
      • Удаление зубов      
        • Удаление дистопированного зуба
        • Удаление зуба мудрости
        • Удаление зуба простое
        • Удаление зуба сложное
        • Удаление ретинированного зуба
      • Гемисекция корня зуба
      • Иссечение капюшона
      • Кюретаж лунки зуба
      • Лечение альвеолита
      • Лечение гранулемы зуба
      • Лечение периостита (флюса)
      • Лечение свища на десне
      • Пластика уздечки языка
      • Резекция верхушки корня
      • Удаление кисты зуба
      • Удаление корня зуба
      • Удаление экзостоза (нароста)
      • Еще
    • Детская стоматология
      • Гигиена и профилактика для детей      
        • Герметизация фиссур у детей
        • Диагностика состояния зубов у детей
        • Профессиональная гигиена зубов у детей
        • Профилактический осмотр у детского стоматолога
      • Детская стоматологическая хирургия      
        • Пластика уздечки губы у детей
        • Пластика уздечки языка у детей
        • Удаление зубов мудрости у подростков
        • Удаление молочного зуба у детей
      • Лечение болезней зубов и десен      
        • Лечение болезней зубов и десен у детей
        • Лечение гингивита у детей
        • Лечение зубов детям под микроскопом
        • Лечение кариеса у детей
        • Лечение периодонтита у детей
        • Лечение пульпита у детей
        • Реставрация молочных и постоянных зубов у детей
      • Ортодонтия у детей (исправление прикуса)      
        • Брекеты для детей и подростков
        • Капы для выравнивания зубов у подростков
        • Мини-винты и пластины при брекет-лечении
    О клинике
    • О нас
    • Блог
    • Лицензии
    • Партнеры
    • Отзывы
    • Реквизиты
    • Корпоративным клиентам
    • ДМС
    • Вакансии
    Команда
    Акции
    Цены
    Наши работы
    Контакты
    Видео
    Детская стоматология
    Клубная программа
      "/>
      Запись онлайн
      Стоматология «DHC»
      +7 (495) 021-94-04
      Стоматология «DHC»
      • Услуги
        • Услуги
        • Имплантация зубов под ключ
          • Имплантация зубов под ключ
          • Зубы за 1 день
          • Имплантаты Ankylos
          • Имплантаты Medentika
          • Имплантаты MIS
          • Имплантаты SGS (Швейцария)
          • Имплантаты XIVE
          • Имплантация Neodent
          • Имплантация Straumann
          • Имплантация двух зубов
          • Имплантация одного зуба
          • Имплантация передних зубов
          • Мини-импланты
          • Навигационная имплантация зубов IMPNAV 3D
          • Скуловая имплантация
          • Экспресс-имплантация зубов
        • Протезирование зубов
          • Протезирование зубов
          • Несъемные протезы
            • Несъемные протезы
            • Коронки
          • Съемные протезы
            • Съемные протезы
            • Акриловые зубные протезы
            • Иммедиат-протез Бабочка
            • Нейлоновые зубные протезы
            • Протезы Акри-Фри
          • Сплинт-терапия
          • Установка накладок на зуб
        • Протезы на имплантах
          • Протезы на имплантах
          • Коронки на имплантах
            • Коронки на имплантах
            • Коронка из диоксида циркония
          • Бюгельный зубной протез
          • Имплантация зубов All-on-4
          • Имплантация зубов All-on-6
          • Мостовидный протез
          • Покрывной зубной протез
          • Съемные зубные протезы
        • Консультация врача-стоматолога
          • Консультация врача-стоматолога
          • По направлениям
            • По направлениям
            • Консультация гигиениста
            • Консультация детского ортодонта
            • Консультация имплантолога
            • Консультация ортодонта
            • Консультация стоматолога-ортопеда
            • Консультация стоматолога-терапевта
            • Консультация стоматолога-хирурга
          • Онлайн консультация стоматолога
          • Первичная консультация стоматолога
        • Профессиональная гигиена и отбеливание
          • Профессиональная гигиена и отбеливание
          • Профессиональная гигиена (чистка зубов)
            • Профессиональная гигиена (чистка зубов)
            • Механическая чистка зубов — с дополнительным уходом
            • Отбеливание зубов Zoom 4
            • Полировка зубов
            • Ультразвуковая чистка зубов
            • Чистка зубов «Air-flow»
            • Чистка и удаление зубного камня
          • Домашнее отбеливание зубов
        • Рассрочка на лечение зубов
          • Рассрочка на лечение зубов
          • Имплантация зубов в рассрочку
          • Имплантация All-on-4 в рассрочку
          • Рассрочка на протезирование зубов
          • Рассрочка на брекеты
          • Рассрочка для детей и подростков
          • Виниры в рассрочку
          • Коронки на зуб в рассрочку
          • Элайнеры в рассрочку
        • Эстетическая стоматология
          • Эстетическая стоматология
          • Виниры для зубов
          • Вкладки на зубы
          • Внутриканальное отбеливание зубов
          • Голливудская улыбка
          • Капы для отбеливания зубов
          • Керамические виниры
          • Композитные виниры для реставрации зубов
          • Люминиры на зубы
          • Отбеливание зубов
          • Отбеливание зубов Opalescence
          • Пломбирование зубов
          • Художественная реставрация зубов
          • Эстетическая стоматология
        • Ортодонтия
          • Ортодонтия
          • Брекеты
            • Брекеты
            • Безлигатурные брекеты
            • Лигатурные брекеты
          • Исправление прикуса
            • Исправление прикуса
            • Исправление глубого прикуса
            • Исправление мезиального прикуса
            • Исправление открытого прикуса
            • Исправление перекресного прикуса
            • Исправление прикуса у детей
          • Элайнеры
            • Элайнеры
            • Ретенционные каппы
            • Элайнеры 3D Smile
            • Элайнеры Flexilinger
            • Элайнеры Invisalign (Инвизилайн)
            • Элайнеры Star Smile (СтарСмайл)
        • Терапия
          • Терапия
          • Герметизации фиссур зубов
          • Депульпирование зуба
          • Лечение гранулемы
          • Лечение кариеса
          • Лечение кисты зуба
        • Эндодонтия
          • Эндодонтия
          • Лечение периодонтита
          • Лечение пульпита
          • Пломбирование каналов зуба
          • Удаление нерва зуба
          • Чистка каналов зуба
          • Эндодонтическое лечение зубов
        • Пародонтология
          • Пародонтология
          • Кюретаж десен
            • Кюретаж десен
            • Закрытый кюретаж
            • Лазерный кюретаж
            • Лоскутная операция
            • Открытый кюретаж
          • Лечение гингивита
          • Лечение пародонтита
          • Лечение пародонтоза
          • Лечение стоматита
          • Плазмолифтинг
          • Шинирование зубов
        • Хирургическая стоматология
          • Хирургическая стоматология
          • Наращивание костной ткани
            • Наращивание костной ткани
            • Синус-лифтинг
            • Костная пластика
          • Наращивание и пластика ткани на десне
            • Наращивание и пластика ткани на десне
            • Иссечение десны (гингивэктомия)
          • Удаление зубов
            • Удаление зубов
            • Удаление дистопированного зуба
            • Удаление зуба мудрости
            • Удаление зуба простое
            • Удаление зуба сложное
            • Удаление ретинированного зуба
          • Гемисекция корня зуба
          • Иссечение капюшона
          • Кюретаж лунки зуба
          • Лечение альвеолита
          • Лечение гранулемы зуба
          • Лечение периостита (флюса)
          • Лечение свища на десне
          • Пластика уздечки языка
          • Резекция верхушки корня
          • Удаление кисты зуба
          • Удаление корня зуба
          • Удаление экзостоза (нароста)
        • Детская стоматология
          • Детская стоматология
          • Гигиена и профилактика для детей
            • Гигиена и профилактика для детей
            • Герметизация фиссур у детей
            • Диагностика состояния зубов у детей
            • Профессиональная гигиена зубов у детей
            • Профилактический осмотр у детского стоматолога
          • Детская стоматологическая хирургия
            • Детская стоматологическая хирургия
            • Пластика уздечки губы у детей
            • Пластика уздечки языка у детей
            • Удаление зубов мудрости у подростков
            • Удаление молочного зуба у детей
          • Лечение болезней зубов и десен
            • Лечение болезней зубов и десен
            • Лечение болезней зубов и десен у детей
            • Лечение гингивита у детей
            • Лечение зубов детям под микроскопом
            • Лечение кариеса у детей
            • Лечение периодонтита у детей
            • Лечение пульпита у детей
            • Реставрация молочных и постоянных зубов у детей
          • Ортодонтия у детей (исправление прикуса)
            • Ортодонтия у детей (исправление прикуса)
            • Брекеты для детей и подростков
            • Капы для выравнивания зубов у подростков
            • Мини-винты и пластины при брекет-лечении
      • О клинике
        • О клинике
        • О нас
        • Блог
        • Лицензии
        • Партнеры
        • Отзывы
        • Реквизиты
        • Корпоративным клиентам
        • ДМС
        • Вакансии
      • Команда
      • Акции
      • Цены
      • Наши работы
      • Контакты
      • Видео
      • Детская стоматология
      • Клубная программа
      Запись онлайн
      • +7 (495) 021-94-04
        • Телефоны
        • +7 (495) 021-94-04
        • Заказать звонок
      • г. Москва, Пресненская набережная, 12
      • info@dhcentre.ru
      • пн-сб 9:00-21:00
      Купить подарочную карту Онлайн оплата Онлайн запись

      Наши работы

      Главная
      —Наши работы


      Начать просмотр
      #Врачи #КтоЛучшеЗнает
      Тренд «найди предметы» версия стоматолога
      3365 просмотров •
      1 месяц назад
      Начать просмотр
      #УдалениеЗубов #Ортодонтия
      Стоматология сильно изменилась за последние годы
      2987 просмотров •
      1 месяц назад
      Начать просмотр
      #ЛечениеУСтоматолога #ЧтоВыберешь
      Какую болезнь выберешь?
      2132 просмотров •
      1 месяц назад
      Начать просмотр
      #Элайнеры #ИсправлениеПрикуса
      С чем можно столкнуться при ношение элайнеров
      2517 просмотров •
      1 месяц назад
      Начать просмотр
      #СравнениеЦен #КрасиваяУлыбка
      Сколько стоит красивая улыбка?
      2073 просмотров •
      1 месяц назад
      Начать просмотр
      #ДетскаяСтоматология #ЛечениеДетей
      Комфортное лечение детский зубов
      2834 просмотров •
      2 месяца назад
      Начать просмотр
      #ОтзывыПациентов #ЛечениеDHC
      Ради чего мы работаем каждый день
      2423 просмотров •
      2 месяца назад
      Начать просмотр
      #Исправление прикуса #Брекеты
      Брекеты: как работает система
      3125 просмотров •
      2 месяца назад
      Начать просмотр
      #Отзыв #КрасиваяУлыбка
      Отзыв от Екатерины Сергеевны
      1302 просмотров •
      1 год назад


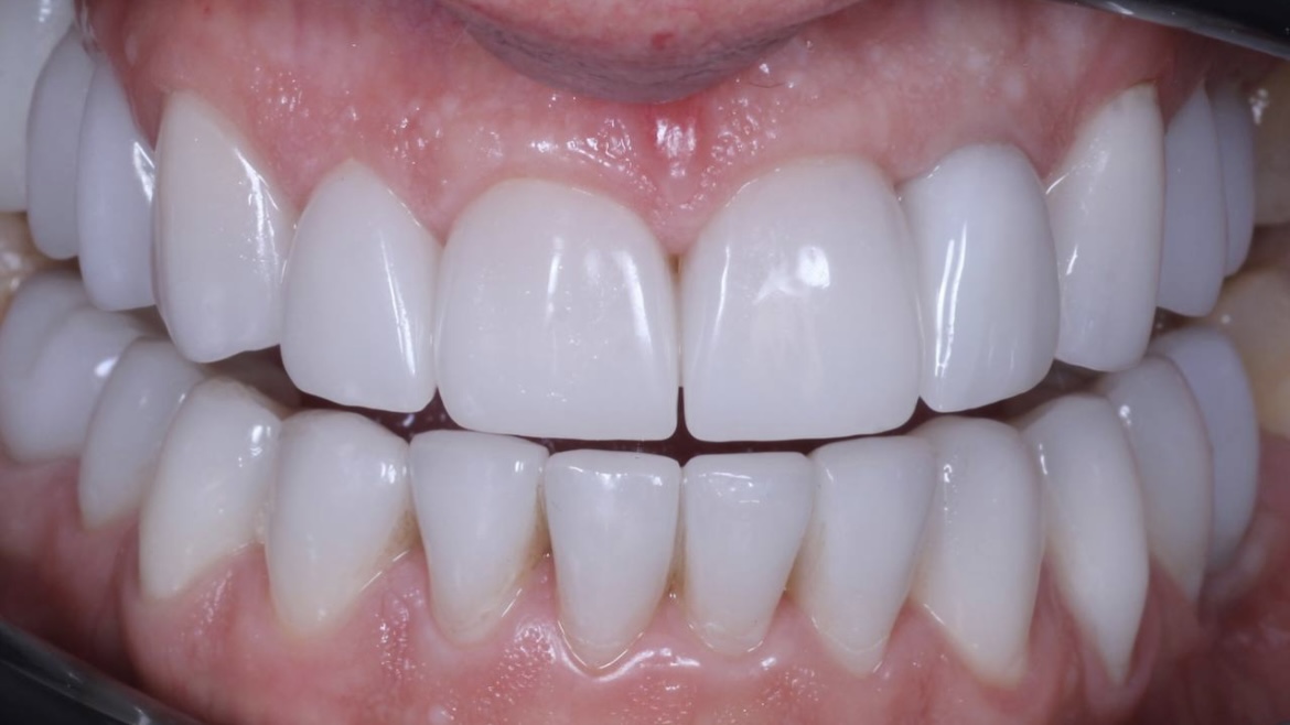
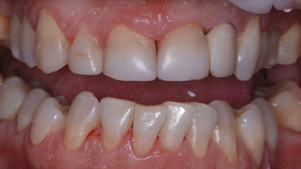
      Тотальное протезирование, лечение и имплантация
      Комплексное лечение
      После
      До
      Ортопедическое лечение
      Сафонов Михаил Александрович
      Главный врач Dental Health Centre, имплантолог, ортопед, гнатолог
      Терапевтическое лечение
      Сафонова (Шакирова) Ирина Алексеевна
      Терапевт, ортопед
      Имплантация Neodent
      от 59 000 ₽
      Записаться
      1 2 3 4 5
      Компания
      О нас
      Блог
      Лицензии
      Партнеры
      Отзывы
      Реквизиты
      Корпоративным клиентам
      ДМС
      Вакансии
      Услуги
      Имплантация зубов под ключ
      Протезирование зубов
      Протезы на имплантах
      Консультация врача-стоматолога
      Профессиональная гигиена и отбеливание
      Рассрочка на лечение зубов
      Эстетическая стоматология
      Ортодонтия
      Терапия
      Эндодонтия
      Пародонтология
      Хирургическая стоматология
      Детская стоматология
      Правовая информация
      +7 (495) 021-94-04
      +7 (495) 021-94-04
      E-mail
      info@dhcentre.ru
      Адрес
      г. Москва, Пресненская набережная, 12
      Режим работы
      пн-сб 9:00-21:00
      Мы в соцсетях
      Купить подарочную карту Онлайн оплата Онлайн запись

      Заказать звонок
      info@dhcentre.ru
      г. Москва, Пресненская набережная, 12
      Купить подарочную карту Онлайн оплата Онлайн запись

      Исключительные права на материалы сайта www.dhcentre.ru в соответствии со ст. 1229 Гражданского кодекса РФ принадлежат их правообладателю. Любое использование данных материалов возможно только с письменного согласия правообладателя. При неправомерном использовании материалов сайта третьими лицами без вышеуказанного письменного согласия правообладателя влечет ответственность в соответствии с действующим законодательством РФ о защите исключительных прав. Информация на сайте носит исключительно ознакомительный характер. Все материалы и цены, размещенные на сайте, не являются публичной офертой, определяемой положениями ст. 437 ГК РФ.
      Мы используем файлы cookie (файлы с данными о прошлых посещениях сайта) для Вашего удобства и нормального функционирования сайта. Порядок обработки персональных данных содержится в Политике обработки персональных данных.

      © 2025 ООО "ДИ ЭЙЧ ЦЕНТР". ОГРН 1147746789057
      Версия для слабовидящих
      Услуги Врачи Запись Цены Контакты