Наши работы — примеры успешного протезирования и эстетической стоматологии | Стоматология DHC (Dental Health Centre)
Размер шрифта
Цвет фона и шрифта
Изображения
Озвучивание текста
Обычная версия сайта
Стоматология «DHC»
Стоматологический Центр
Dental Health Centre
+7 (495) 021-94-04
+7 (495) 021-94-04
Заказать звонок
E-mail
info@dhcentre.ru
Адрес
г. Москва, Пресненская набережная, 12
Режим работы
пн-сб 9:00-21:00
Мы в соцсетях
Купить подарочную карту Онлайн оплата Онлайн запись

Запись онлайн
Услуги
  • Имплантация зубов под ключ
    • Зубы за 1 день
    • Имплантаты Ankylos
    • Имплантаты Medentika
    • Имплантаты MIS
    • Имплантаты SGS (Швейцария)
    • Имплантаты XIVE
    • Имплантация Neodent
    • Имплантация Straumann
    • Имплантация двух зубов
    • Имплантация одного зуба
    • Имплантация передних зубов
    • Мини-импланты
    • Навигационная имплантация зубов IMPNAV 3D
    • Скуловая имплантация
    • Экспресс-имплантация зубов
  • Протезирование зубов
    • Несъемные протезы
    • Съемные протезы
    • Сплинт-терапия
    • Установка накладок на зуб
  • Протезы на имплантах
    • Коронки на имплантах
    • Бюгельный зубной протез
    • Имплантация зубов All-on-4
    • Имплантация зубов All-on-6
    • Мостовидный протез
    • Покрывной зубной протез
    • Съемные зубные протезы
  • Консультация врача-стоматолога
    • По направлениям
    • Онлайн консультация стоматолога
    • Первичная консультация стоматолога
  • Профессиональная гигиена и отбеливание
    • Профессиональная гигиена (чистка зубов)
    • Домашнее отбеливание зубов
  • Рассрочка на лечение зубов
    • Имплантация зубов в рассрочку
    • Имплантация All-on-4 в рассрочку
    • Рассрочка на протезирование зубов
    • Рассрочка на брекеты
    • Рассрочка для детей и подростков
    • Виниры в рассрочку
    • Коронки на зуб в рассрочку
    • Элайнеры в рассрочку
  • Эстетическая стоматология
    • Виниры для зубов
    • Вкладки на зубы
    • Внутриканальное отбеливание зубов
    • Голливудская улыбка
    • Капы для отбеливания зубов
    • Керамические виниры
    • Композитные виниры для реставрации зубов
    • Люминиры на зубы
    • Отбеливание зубов
    • Отбеливание зубов Opalescence
    • Пломбирование зубов
    • Художественная реставрация зубов
    • Эстетическая стоматология
  • Ортодонтия
    • Брекеты
    • Исправление прикуса
    • Элайнеры
  • Терапия
    • Герметизации фиссур зубов
    • Депульпирование зуба
    • Лечение гранулемы
    • Лечение кариеса
    • Лечение кисты зуба
  • Эндодонтия
    • Лечение периодонтита
    • Лечение пульпита
    • Пломбирование каналов зуба
    • Удаление нерва зуба
    • Чистка каналов зуба
    • Эндодонтическое лечение зубов
  • Пародонтология
    • Кюретаж десен
    • Лечение гингивита
    • Лечение пародонтита
    • Лечение пародонтоза
    • Лечение стоматита
    • Плазмолифтинг
    • Шинирование зубов
  • Хирургическая стоматология
    • Наращивание костной ткани
    • Наращивание и пластика ткани на десне
    • Удаление зубов
    • Гемисекция корня зуба
    • Иссечение капюшона
    • Кюретаж лунки зуба
    • Лечение альвеолита
    • Лечение гранулемы зуба
    • Лечение периостита (флюса)
    • Лечение свища на десне
    • Пластика уздечки языка
    • Резекция верхушки корня
    • Удаление кисты зуба
    • Удаление корня зуба
    • Удаление экзостоза (нароста)
  • Детская стоматология
    • Гигиена и профилактика для детей
    • Детская стоматологическая хирургия
    • Лечение болезней зубов и десен
    • Ортодонтия у детей (исправление прикуса)
О клинике
  • О нас
  • Блог
  • Лицензии
  • Партнеры
  • Отзывы
  • Реквизиты
  • Корпоративным клиентам
  • ДМС
  • Вакансии
Команда
Акции
Цены
Наши работы
Контакты
Видео
Детская стоматология
Клубная программа
Стоматология «DHC»
Стоматологический Центр
Dental Health Centre
  • Пациенту
  • Карта сайта
  • 👨‍⚕️ Курсы для стоматологов
  • ...
    +7 (495) 021-94-04
    +7 (495) 021-94-04
    E-mail
    info@dhcentre.ru
    Адрес
    г. Москва, Пресненская набережная, 12
    Режим работы
    пн-сб 9:00-21:00
    Мы в соцсетях
    Купить подарочную карту Онлайн оплата Онлайн запись

    Услуги
    • Имплантация зубов под ключ
      • Зубы за 1 день
      • Имплантаты Ankylos
      • Имплантаты Medentika
      • Имплантаты MIS
      • Имплантаты SGS (Швейцария)
      • Имплантаты XIVE
      • Имплантация Neodent
      • Имплантация Straumann
      • Имплантация двух зубов
      • Имплантация одного зуба
      • Имплантация передних зубов
      • Мини-импланты
      • Навигационная имплантация зубов IMPNAV 3D
      • Скуловая имплантация
      • Экспресс-имплантация зубов
      • Еще
    • Протезирование зубов
      • Несъемные протезы      
        • Коронки
      • Съемные протезы      
        • Акриловые зубные протезы
        • Иммедиат-протез Бабочка
        • Нейлоновые зубные протезы
        • Протезы Акри-Фри
      • Сплинт-терапия
      • Установка накладок на зуб
    • Протезы на имплантах
      • Коронки на имплантах      
        • Коронка из диоксида циркония
      • Бюгельный зубной протез
      • Имплантация зубов All-on-4
      • Имплантация зубов All-on-6
      • Мостовидный протез
      • Покрывной зубной протез
      • Съемные зубные протезы
      • Еще
    • Консультация врача-стоматолога
      • По направлениям      
        • Консультация гигиениста
        • Консультация детского ортодонта
        • Консультация имплантолога
        • Консультация ортодонта
        • Консультация стоматолога-ортопеда
        • Консультация стоматолога-терапевта
        • Консультация стоматолога-хирурга
      • Онлайн консультация стоматолога
      • Первичная консультация стоматолога
    • Профессиональная гигиена и отбеливание
      • Профессиональная гигиена (чистка зубов)      
        • Механическая чистка зубов — с дополнительным уходом
        • Отбеливание зубов Zoom 4
        • Полировка зубов
        • Ультразвуковая чистка зубов
        • Чистка зубов «Air-flow»
        • Чистка и удаление зубного камня
      • Домашнее отбеливание зубов
    • Рассрочка на лечение зубов
      • Имплантация зубов в рассрочку
      • Имплантация All-on-4 в рассрочку
      • Рассрочка на протезирование зубов
      • Рассрочка на брекеты
      • Рассрочка для детей и подростков
      • Виниры в рассрочку
      • Коронки на зуб в рассрочку
      • Элайнеры в рассрочку
      • Еще
    • Эстетическая стоматология
      • Виниры для зубов
      • Вкладки на зубы
      • Внутриканальное отбеливание зубов
      • Голливудская улыбка
      • Капы для отбеливания зубов
      • Керамические виниры
      • Композитные виниры для реставрации зубов
      • Люминиры на зубы
      • Отбеливание зубов
      • Отбеливание зубов Opalescence
      • Пломбирование зубов
      • Художественная реставрация зубов
      • Эстетическая стоматология
      • Еще
    • Ортодонтия
      • Брекеты      
        • Безлигатурные брекеты
        • Лигатурные брекеты
      • Исправление прикуса      
        • Исправление глубого прикуса
        • Исправление мезиального прикуса
        • Исправление открытого прикуса
        • Исправление перекресного прикуса
        • Исправление прикуса у детей
      • Элайнеры      
        • Ретенционные каппы
        • Элайнеры 3D Smile
        • Элайнеры Flexilinger
        • Элайнеры Invisalign (Инвизилайн)
        • Элайнеры Star Smile (СтарСмайл)
    • Терапия
      • Герметизации фиссур зубов
      • Депульпирование зуба
      • Лечение гранулемы
      • Лечение кариеса
      • Лечение кисты зуба
    • Эндодонтия
      • Лечение периодонтита
      • Лечение пульпита
      • Пломбирование каналов зуба
      • Удаление нерва зуба
      • Чистка каналов зуба
      • Эндодонтическое лечение зубов
      • Еще
    • Пародонтология
      • Кюретаж десен      
        • Закрытый кюретаж
        • Лазерный кюретаж
        • Лоскутная операция
        • Открытый кюретаж
      • Лечение гингивита
      • Лечение пародонтита
      • Лечение пародонтоза
      • Лечение стоматита
      • Плазмолифтинг
      • Шинирование зубов
      • Еще
    • Хирургическая стоматология
      • Наращивание костной ткани      
        • Синус-лифтинг
        • Костная пластика
      • Наращивание и пластика ткани на десне      
        • Иссечение десны (гингивэктомия)
      • Удаление зубов      
        • Удаление дистопированного зуба
        • Удаление зуба мудрости
        • Удаление зуба простое
        • Удаление зуба сложное
        • Удаление ретинированного зуба
      • Гемисекция корня зуба
      • Иссечение капюшона
      • Кюретаж лунки зуба
      • Лечение альвеолита
      • Лечение гранулемы зуба
      • Лечение периостита (флюса)
      • Лечение свища на десне
      • Пластика уздечки языка
      • Резекция верхушки корня
      • Удаление кисты зуба
      • Удаление корня зуба
      • Удаление экзостоза (нароста)
      • Еще
    • Детская стоматология
      • Гигиена и профилактика для детей      
        • Герметизация фиссур у детей
        • Диагностика состояния зубов у детей
        • Профессиональная гигиена зубов у детей
        • Профилактический осмотр у детского стоматолога
      • Детская стоматологическая хирургия      
        • Пластика уздечки губы у детей
        • Пластика уздечки языка у детей
        • Удаление зубов мудрости у подростков
        • Удаление молочного зуба у детей
      • Лечение болезней зубов и десен      
        • Лечение болезней зубов и десен у детей
        • Лечение гингивита у детей
        • Лечение зубов детям под микроскопом
        • Лечение кариеса у детей
        • Лечение периодонтита у детей
        • Лечение пульпита у детей
        • Реставрация молочных и постоянных зубов у детей
      • Ортодонтия у детей (исправление прикуса)      
        • Брекеты для детей и подростков
        • Капы для выравнивания зубов у подростков
        • Мини-винты и пластины при брекет-лечении
    О клинике
    • О нас
    • Блог
    • Лицензии
    • Партнеры
    • Отзывы
    • Реквизиты
    • Корпоративным клиентам
    • ДМС
    • Вакансии
    Команда
    Акции
    Цены
    Наши работы
    Контакты
    Видео
    Детская стоматология
    Клубная программа
      "/>
      Запись онлайн
      Стоматология «DHC»
      +7 (495) 021-94-04
      Стоматология «DHC»
      • Услуги
        • Услуги
        • Имплантация зубов под ключ
          • Имплантация зубов под ключ
          • Зубы за 1 день
          • Имплантаты Ankylos
          • Имплантаты Medentika
          • Имплантаты MIS
          • Имплантаты SGS (Швейцария)
          • Имплантаты XIVE
          • Имплантация Neodent
          • Имплантация Straumann
          • Имплантация двух зубов
          • Имплантация одного зуба
          • Имплантация передних зубов
          • Мини-импланты
          • Навигационная имплантация зубов IMPNAV 3D
          • Скуловая имплантация
          • Экспресс-имплантация зубов
        • Протезирование зубов
          • Протезирование зубов
          • Несъемные протезы
            • Несъемные протезы
            • Коронки
          • Съемные протезы
            • Съемные протезы
            • Акриловые зубные протезы
            • Иммедиат-протез Бабочка
            • Нейлоновые зубные протезы
            • Протезы Акри-Фри
          • Сплинт-терапия
          • Установка накладок на зуб
        • Протезы на имплантах
          • Протезы на имплантах
          • Коронки на имплантах
            • Коронки на имплантах
            • Коронка из диоксида циркония
          • Бюгельный зубной протез
          • Имплантация зубов All-on-4
          • Имплантация зубов All-on-6
          • Мостовидный протез
          • Покрывной зубной протез
          • Съемные зубные протезы
        • Консультация врача-стоматолога
          • Консультация врача-стоматолога
          • По направлениям
            • По направлениям
            • Консультация гигиениста
            • Консультация детского ортодонта
            • Консультация имплантолога
            • Консультация ортодонта
            • Консультация стоматолога-ортопеда
            • Консультация стоматолога-терапевта
            • Консультация стоматолога-хирурга
          • Онлайн консультация стоматолога
          • Первичная консультация стоматолога
        • Профессиональная гигиена и отбеливание
          • Профессиональная гигиена и отбеливание
          • Профессиональная гигиена (чистка зубов)
            • Профессиональная гигиена (чистка зубов)
            • Механическая чистка зубов — с дополнительным уходом
            • Отбеливание зубов Zoom 4
            • Полировка зубов
            • Ультразвуковая чистка зубов
            • Чистка зубов «Air-flow»
            • Чистка и удаление зубного камня
          • Домашнее отбеливание зубов
        • Рассрочка на лечение зубов
          • Рассрочка на лечение зубов
          • Имплантация зубов в рассрочку
          • Имплантация All-on-4 в рассрочку
          • Рассрочка на протезирование зубов
          • Рассрочка на брекеты
          • Рассрочка для детей и подростков
          • Виниры в рассрочку
          • Коронки на зуб в рассрочку
          • Элайнеры в рассрочку
        • Эстетическая стоматология
          • Эстетическая стоматология
          • Виниры для зубов
          • Вкладки на зубы
          • Внутриканальное отбеливание зубов
          • Голливудская улыбка
          • Капы для отбеливания зубов
          • Керамические виниры
          • Композитные виниры для реставрации зубов
          • Люминиры на зубы
          • Отбеливание зубов
          • Отбеливание зубов Opalescence
          • Пломбирование зубов
          • Художественная реставрация зубов
          • Эстетическая стоматология
        • Ортодонтия
          • Ортодонтия
          • Брекеты
            • Брекеты
            • Безлигатурные брекеты
            • Лигатурные брекеты
          • Исправление прикуса
            • Исправление прикуса
            • Исправление глубого прикуса
            • Исправление мезиального прикуса
            • Исправление открытого прикуса
            • Исправление перекресного прикуса
            • Исправление прикуса у детей
          • Элайнеры
            • Элайнеры
            • Ретенционные каппы
            • Элайнеры 3D Smile
            • Элайнеры Flexilinger
            • Элайнеры Invisalign (Инвизилайн)
            • Элайнеры Star Smile (СтарСмайл)
        • Терапия
          • Терапия
          • Герметизации фиссур зубов
          • Депульпирование зуба
          • Лечение гранулемы
          • Лечение кариеса
          • Лечение кисты зуба
        • Эндодонтия
          • Эндодонтия
          • Лечение периодонтита
          • Лечение пульпита
          • Пломбирование каналов зуба
          • Удаление нерва зуба
          • Чистка каналов зуба
          • Эндодонтическое лечение зубов
        • Пародонтология
          • Пародонтология
          • Кюретаж десен
            • Кюретаж десен
            • Закрытый кюретаж
            • Лазерный кюретаж
            • Лоскутная операция
            • Открытый кюретаж
          • Лечение гингивита
          • Лечение пародонтита
          • Лечение пародонтоза
          • Лечение стоматита
          • Плазмолифтинг
          • Шинирование зубов
        • Хирургическая стоматология
          • Хирургическая стоматология
          • Наращивание костной ткани
            • Наращивание костной ткани
            • Синус-лифтинг
            • Костная пластика
          • Наращивание и пластика ткани на десне
            • Наращивание и пластика ткани на десне
            • Иссечение десны (гингивэктомия)
          • Удаление зубов
            • Удаление зубов
            • Удаление дистопированного зуба
            • Удаление зуба мудрости
            • Удаление зуба простое
            • Удаление зуба сложное
            • Удаление ретинированного зуба
          • Гемисекция корня зуба
          • Иссечение капюшона
          • Кюретаж лунки зуба
          • Лечение альвеолита
          • Лечение гранулемы зуба
          • Лечение периостита (флюса)
          • Лечение свища на десне
          • Пластика уздечки языка
          • Резекция верхушки корня
          • Удаление кисты зуба
          • Удаление корня зуба
          • Удаление экзостоза (нароста)
        • Детская стоматология
          • Детская стоматология
          • Гигиена и профилактика для детей
            • Гигиена и профилактика для детей
            • Герметизация фиссур у детей
            • Диагностика состояния зубов у детей
            • Профессиональная гигиена зубов у детей
            • Профилактический осмотр у детского стоматолога
          • Детская стоматологическая хирургия
            • Детская стоматологическая хирургия
            • Пластика уздечки губы у детей
            • Пластика уздечки языка у детей
            • Удаление зубов мудрости у подростков
            • Удаление молочного зуба у детей
          • Лечение болезней зубов и десен
            • Лечение болезней зубов и десен
            • Лечение болезней зубов и десен у детей
            • Лечение гингивита у детей
            • Лечение зубов детям под микроскопом
            • Лечение кариеса у детей
            • Лечение периодонтита у детей
            • Лечение пульпита у детей
            • Реставрация молочных и постоянных зубов у детей
          • Ортодонтия у детей (исправление прикуса)
            • Ортодонтия у детей (исправление прикуса)
            • Брекеты для детей и подростков
            • Капы для выравнивания зубов у подростков
            • Мини-винты и пластины при брекет-лечении
      • О клинике
        • О клинике
        • О нас
        • Блог
        • Лицензии
        • Партнеры
        • Отзывы
        • Реквизиты
        • Корпоративным клиентам
        • ДМС
        • Вакансии
      • Команда
      • Акции
      • Цены
      • Наши работы
      • Контакты
      • Видео
      • Детская стоматология
      • Клубная программа
      Запись онлайн
      • +7 (495) 021-94-04
        • Телефоны
        • +7 (495) 021-94-04
        • Заказать звонок
      • г. Москва, Пресненская набережная, 12
      • info@dhcentre.ru
      • пн-сб 9:00-21:00
      Купить подарочную карту Онлайн оплата Онлайн запись

      Наши работы

      Главная
      —Наши работы


      Начать просмотр
      #Врачи #КтоЛучшеЗнает
      Тренд «найди предметы» версия стоматолога
      3365 просмотров •
      1 месяц назад
      Начать просмотр
      #УдалениеЗубов #Ортодонтия
      Стоматология сильно изменилась за последние годы
      2987 просмотров •
      1 месяц назад
      Начать просмотр
      #ЛечениеУСтоматолога #ЧтоВыберешь
      Какую болезнь выберешь?
      2132 просмотров •
      1 месяц назад
      Начать просмотр
      #Элайнеры #ИсправлениеПрикуса
      С чем можно столкнуться при ношение элайнеров
      2517 просмотров •
      1 месяц назад
      Начать просмотр
      #СравнениеЦен #КрасиваяУлыбка
      Сколько стоит красивая улыбка?
      2073 просмотров •
      1 месяц назад
      Начать просмотр
      #ДетскаяСтоматология #ЛечениеДетей
      Комфортное лечение детский зубов
      2834 просмотров •
      2 месяца назад
      Начать просмотр
      #ОтзывыПациентов #ЛечениеDHC
      Ради чего мы работаем каждый день
      2423 просмотров •
      2 месяца назад
      Начать просмотр
      #Исправление прикуса #Брекеты
      Брекеты: как работает система
      3125 просмотров •
      2 месяца назад
      Начать просмотр
      #Отзыв #КрасиваяУлыбка
      Отзыв от Екатерины Сергеевны
      1302 просмотров •
      1 год назад


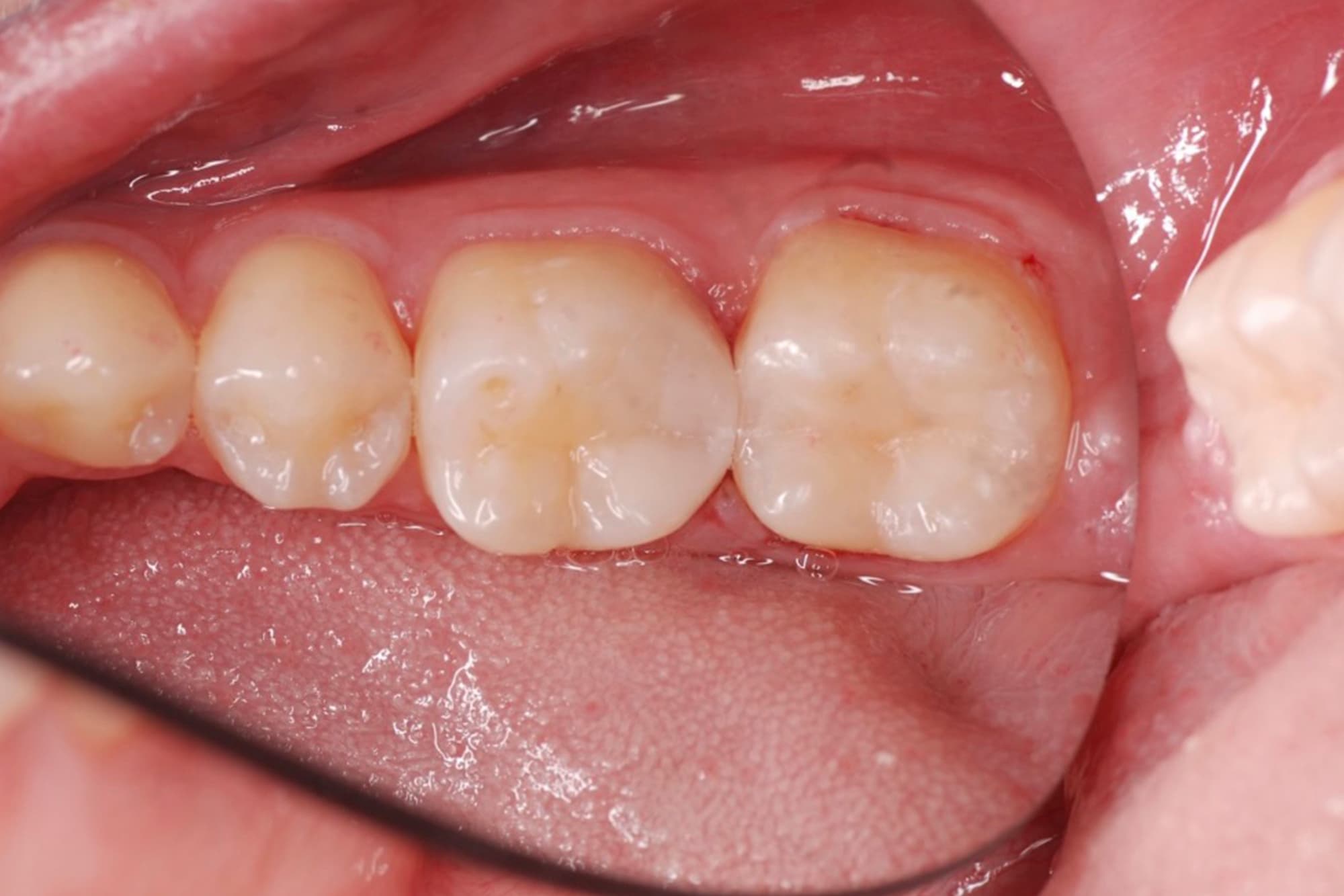
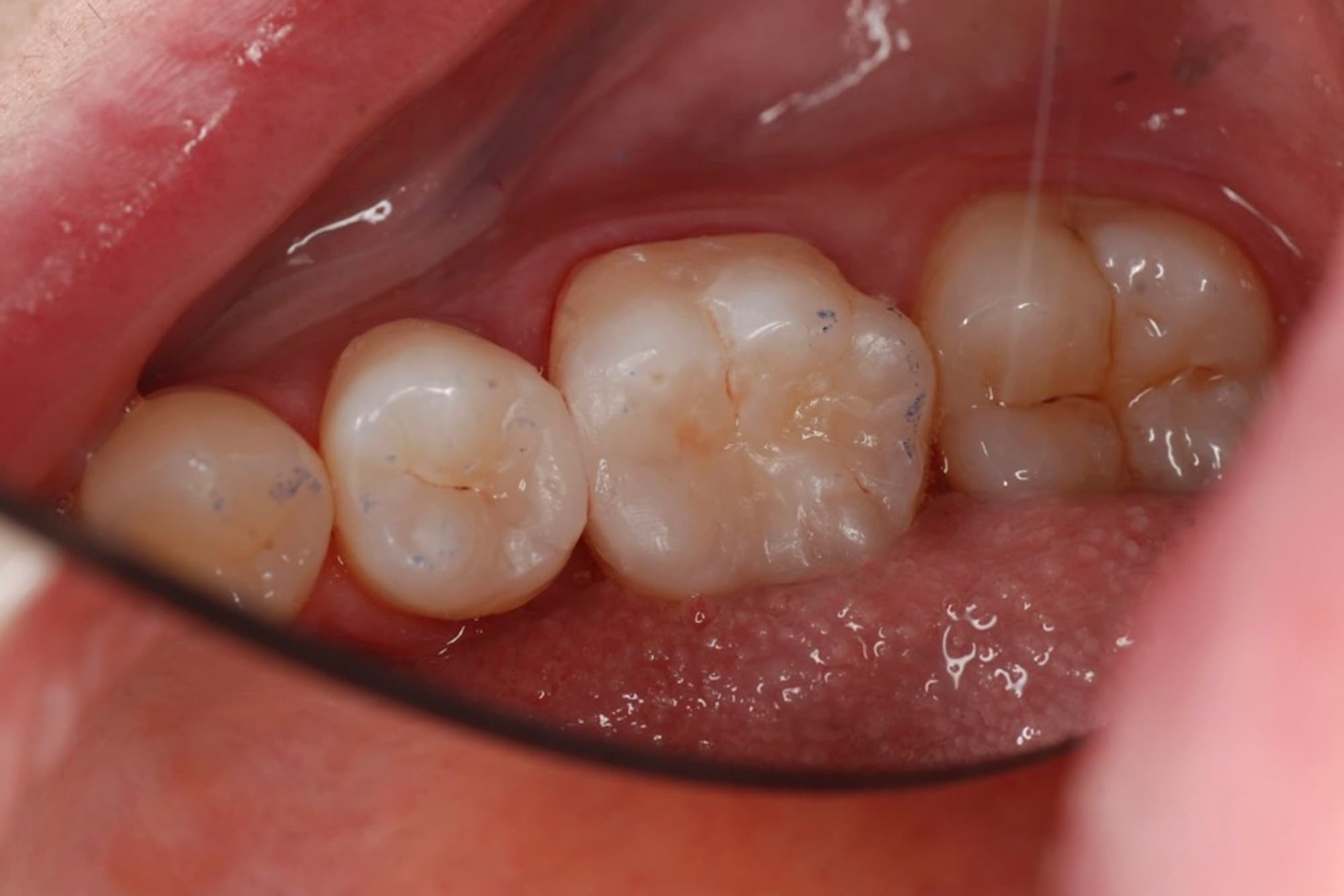
      Лечение контактных поверхностей и реставрации зубов 45,46
      Лечение контактных поверхностей и реставрации зубов 45,46 - после полировки
      После
      До
      Терапевтическое лечение
      Ахмедова Диана Александровна
      Терапевт
      Реставрация зубов
      14 000 ₽
      Записаться
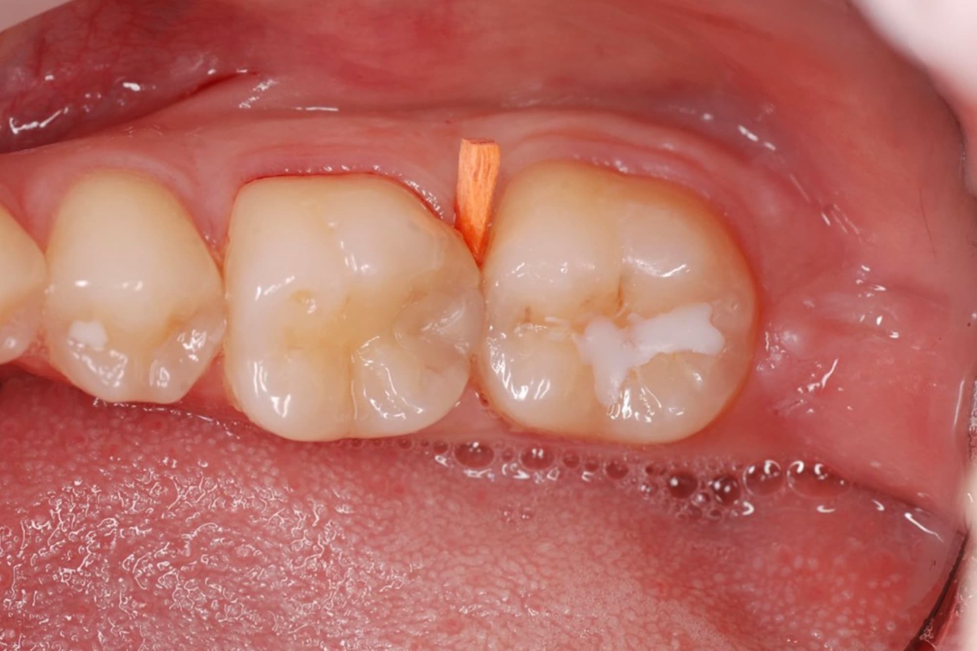
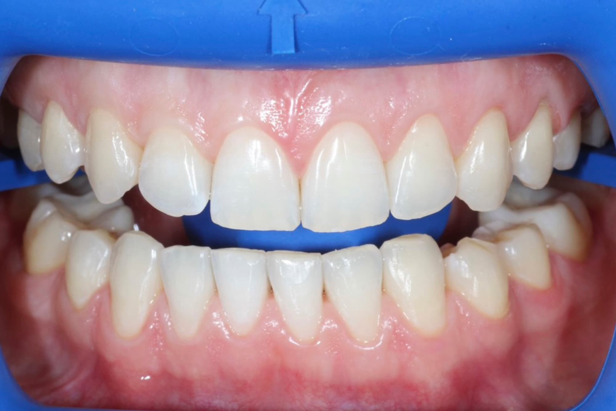
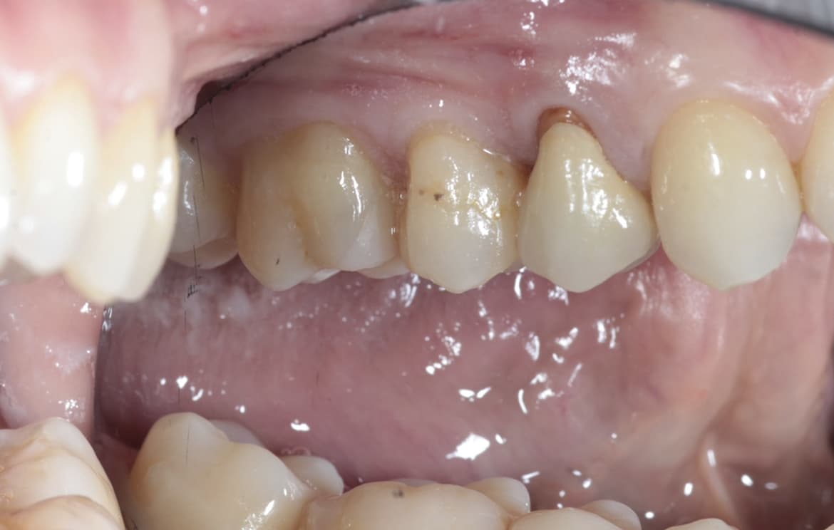
      Кариес на дистальной контактной поверхности 45, 46 зуба
      Кариес на дистальной контактной поверхности 45 зуба и медиальной , а также жевательной поверхности 46 зуба .
      После
      До
      Терапевтическое лечение
      Ахмедова Диана Александровна
      Терапевт
      Лечение кариеса
      7 300 ₽
      Записаться
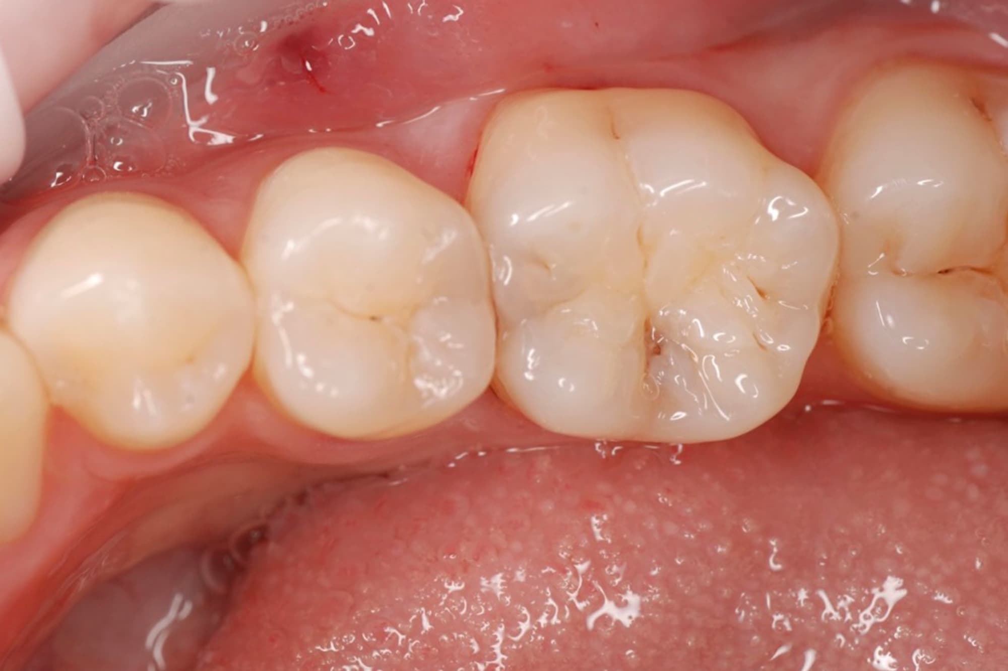
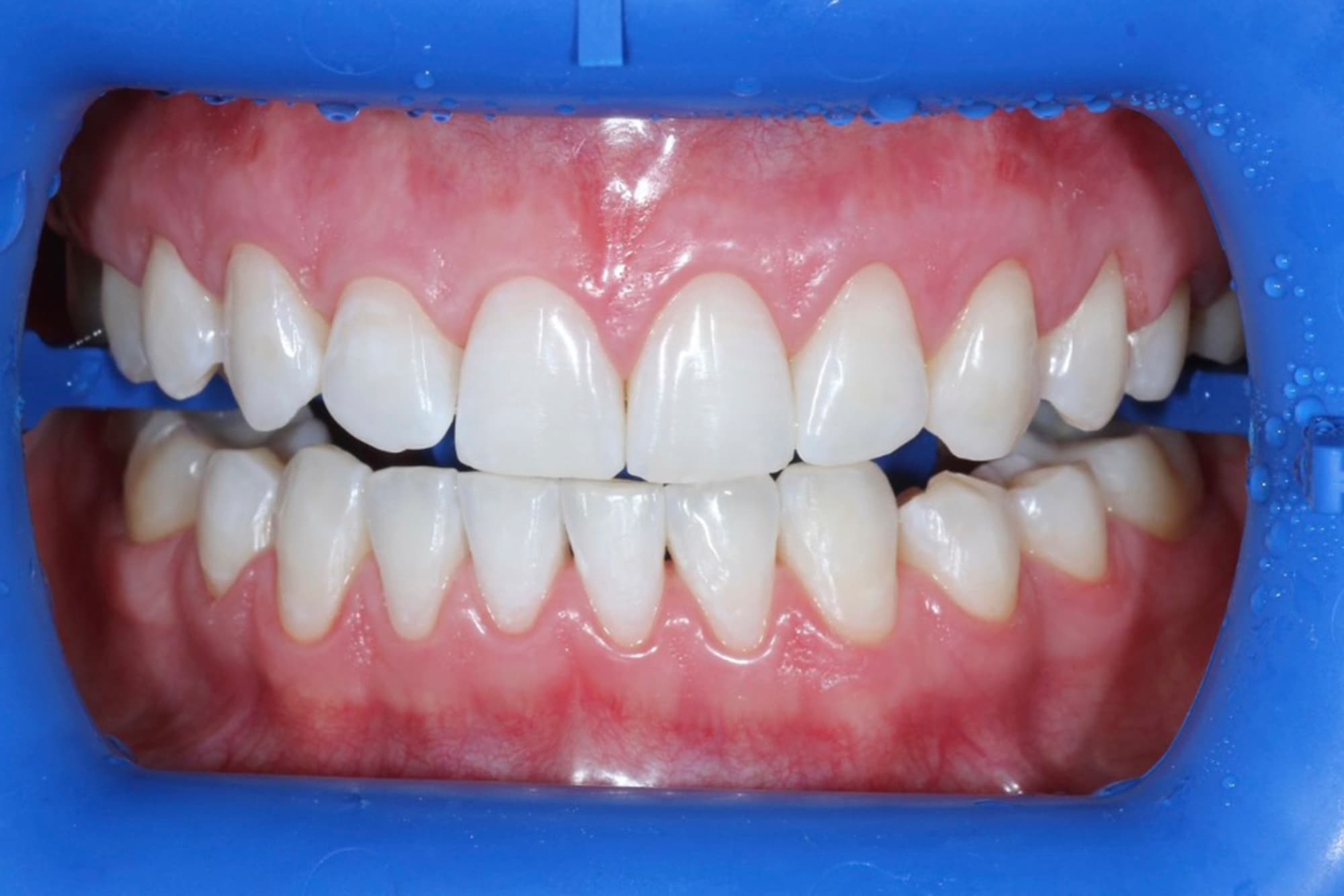
      Лечение и реставрация контактной поверхности 36 и 37 зуба
      Лечение и реставрация контактной поверхности 36 и 37 зуба
      После
      До
      Терапевтическое лечение
      Ахмедова Диана Александровна
      Терапевт
      Терапевтическое лечение
      от 7 300 ₽
      Записаться
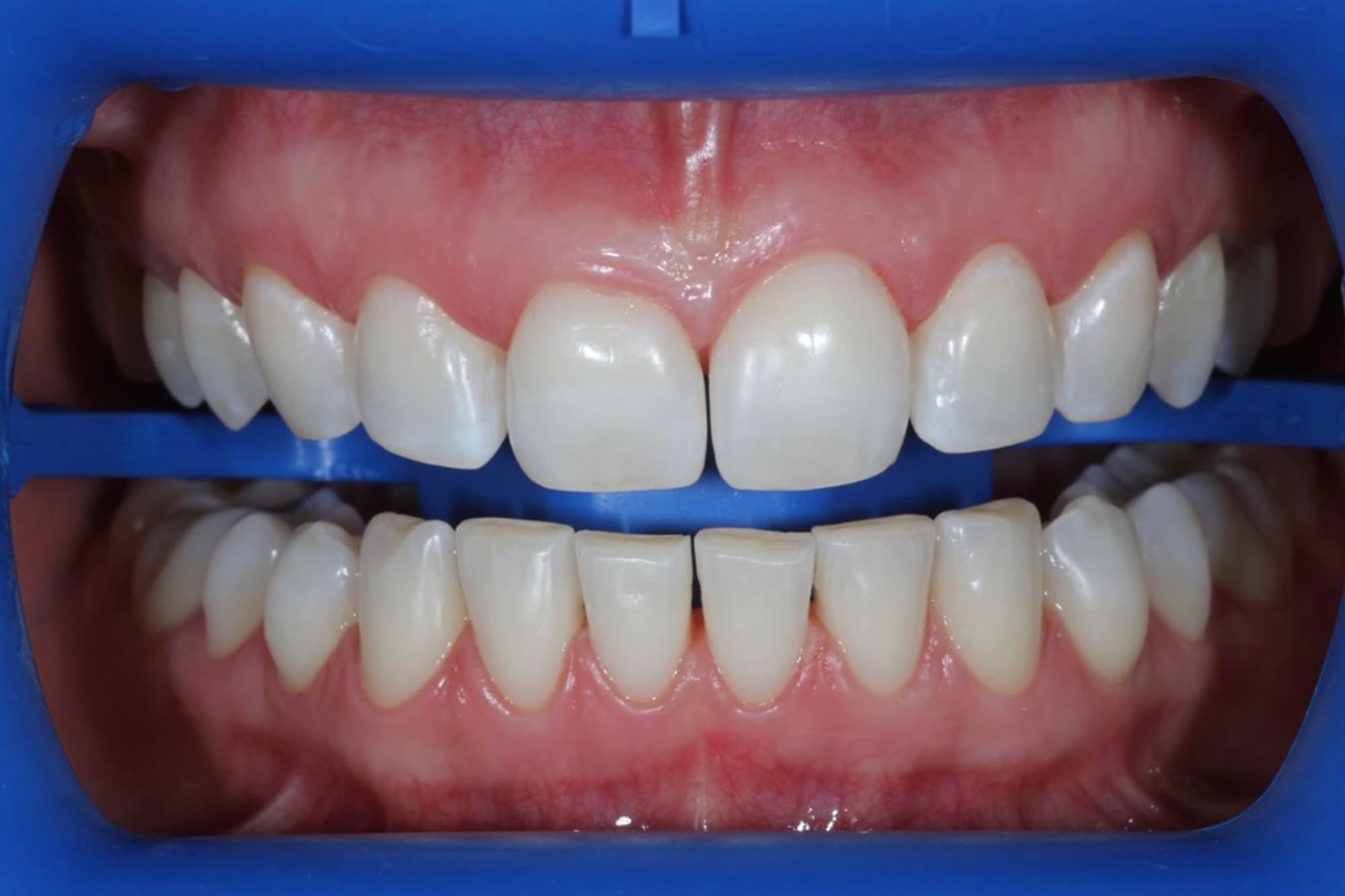
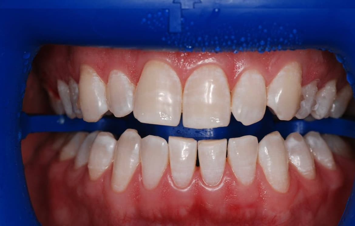
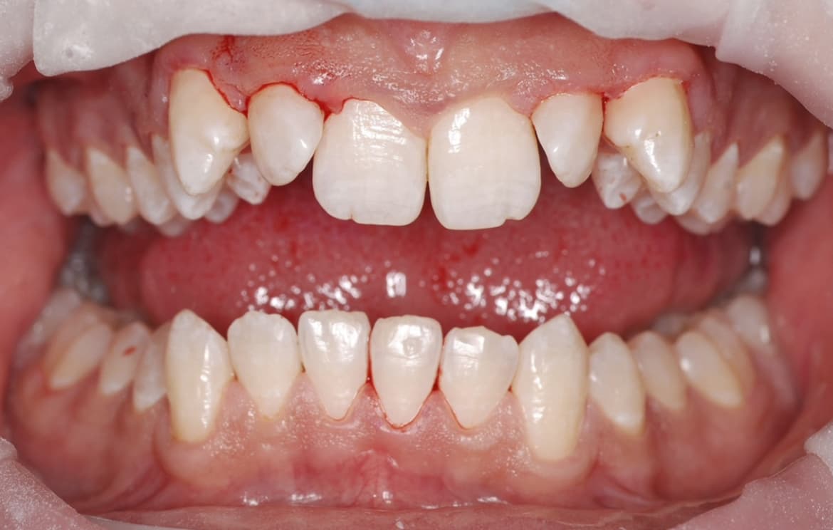
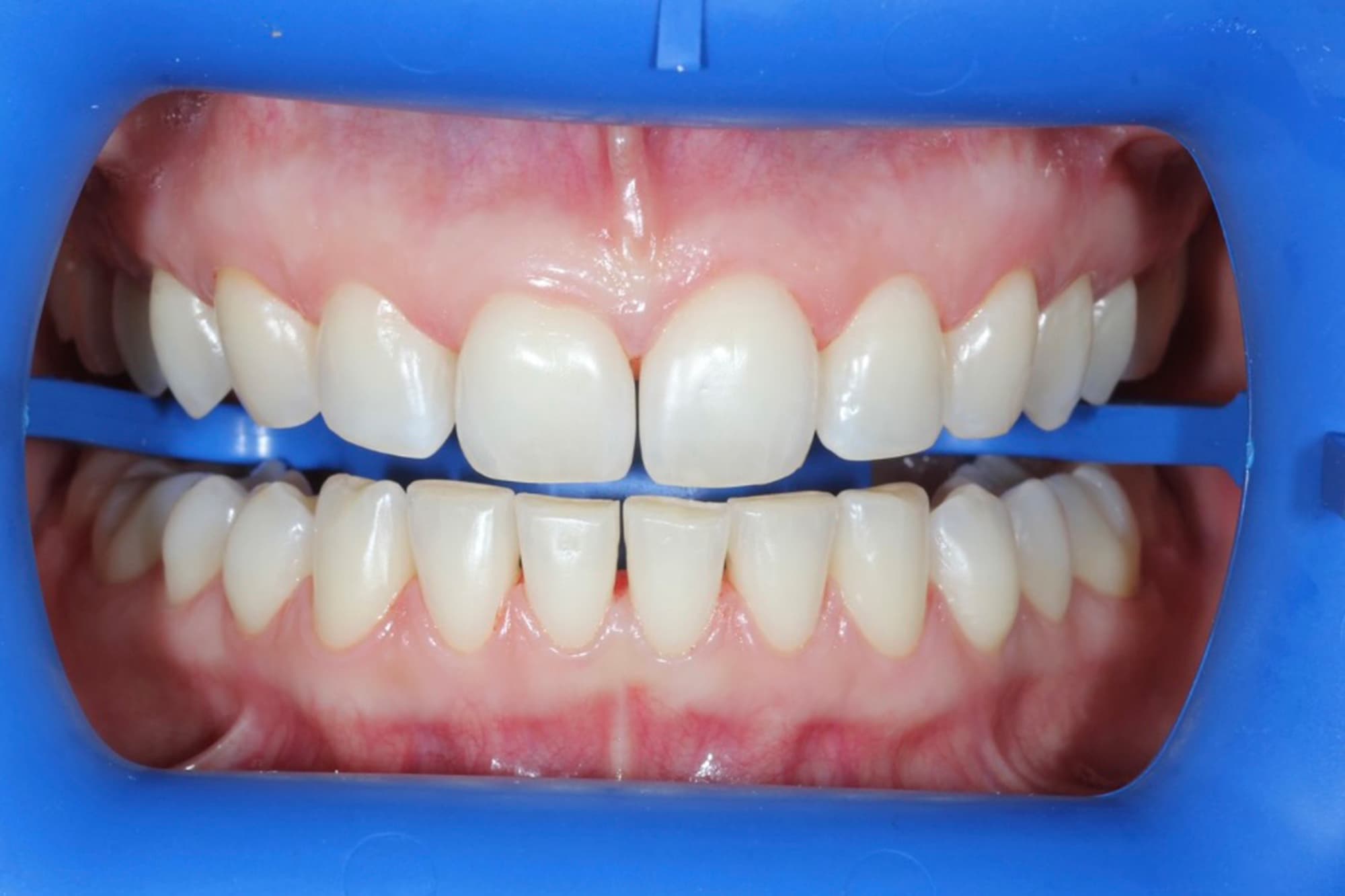
      Отбеливание зубов системой Zoom 4
      Отбеливание зубов системой Zoom 4
      После
      До
      Терапевтическое лечение
      Ахмедова Диана Александровна
      Терапевт
      Отбеливание зубов ZOOM4
      39 900 ₽
      Записаться
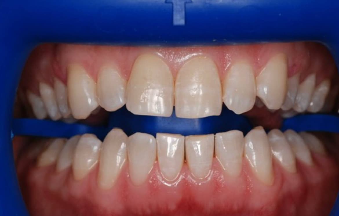
      Отбеливание зубов системой Zoom 4
      Отбеливание зубов системой Zoom 4
      После
      До
      Терапевтическое лечение
      Ахмедова Диана Александровна
      Терапевт
      Отбеливание зубов ZOOM4
      39 900 ₽
      Записаться
      Отбеливание зубов системой Zoom 4
      Отбеливание зубов системой Zoom 4
      После
      До
      Терапевтическое лечение
      Ахмедова Диана Александровна
      Терапевт
      Отбеливание зубов ZOOM4
      39 900 ₽
      Записаться
      Замена несостоятельной коронки и реставрации
      Лечение зуба 2.5 и замена несостоятельной коронки 2.4 из диоксида циркония
      После
      До
      Ортопедия и гигиена
      Рубан Анна Сергеевна
      Ортопед
      Консультация врача-стоматолога
      2 000 ₽
      Записаться
      Восстановление зубных рядов коронками на имплантатах
      Установка коронок на имплантате зубы 4.6,4.7
      После
      До
      Ортопедия и гигиена
      Рубан Анна Сергеевна
      Ортопед
      Имплантация зубов
      от 59 000 ₽
      Записаться
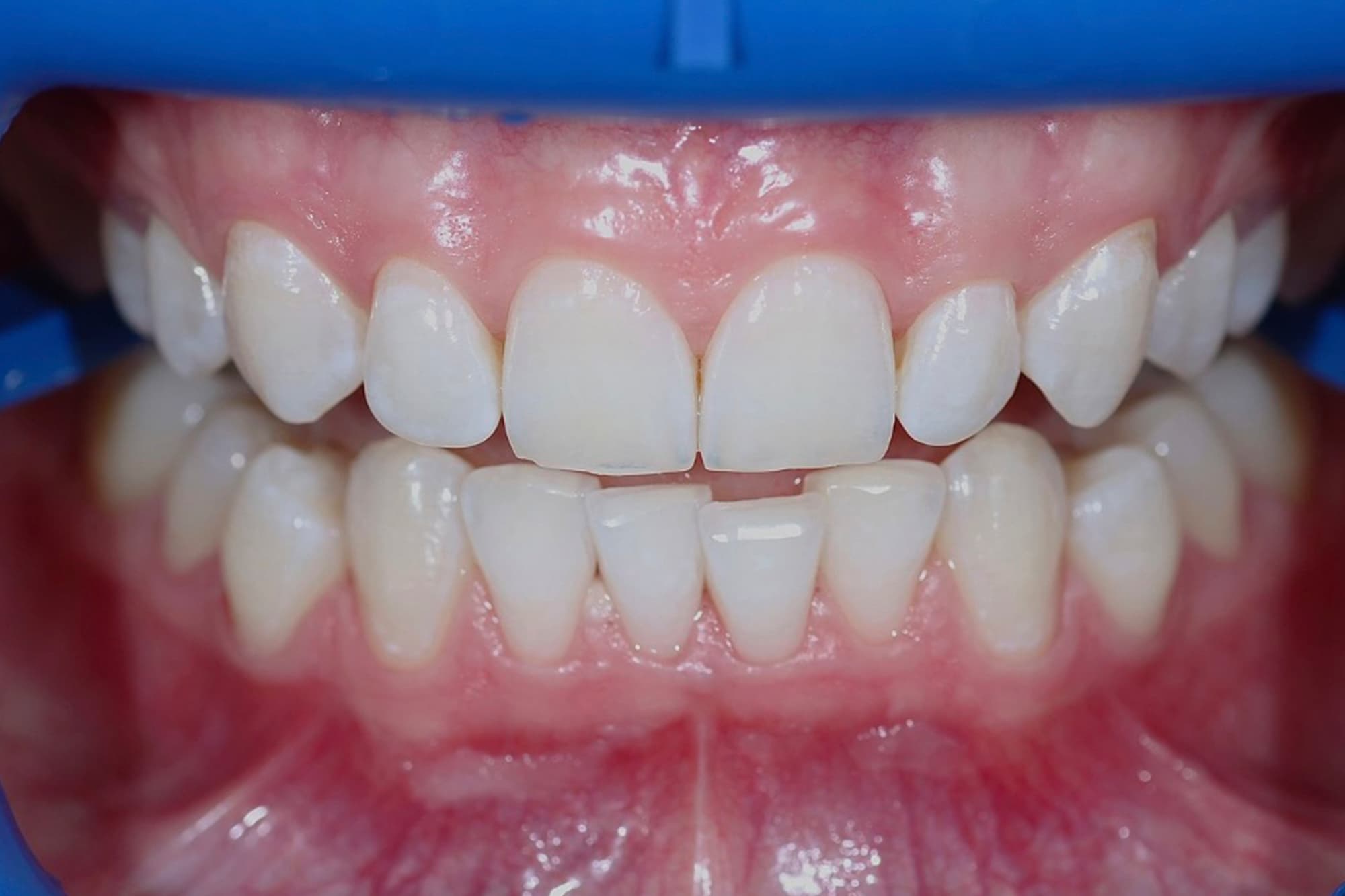
      Отбеливание зубов ZOOM
      Проведена профессиональная гигиена полости рта с последующим отбеливанием системой Philips Zoom 4
      После
      До
      Ортопедия и гигиена
      Рубан Анна Сергеевна
      Ортопед
      Отбеливание зубов ZOOM4
      39 900 ₽
      Записаться
      Комплексная гигиена полости рта
      Удаление наддесневых и поддесневых зубных отложений, темного налета, полировка и фторирование зубов
      После
      До
      Ортопедия и гигиена
      Рубан Анна Сергеевна
      Ортопед
      Отбеливание зубов
      от 30 000 ₽
      Записаться
      Загрузить еще
      1 2 3 4 5
      Компания
      О нас
      Блог
      Лицензии
      Партнеры
      Отзывы
      Реквизиты
      Корпоративным клиентам
      ДМС
      Вакансии
      Услуги
      Имплантация зубов под ключ
      Протезирование зубов
      Протезы на имплантах
      Консультация врача-стоматолога
      Профессиональная гигиена и отбеливание
      Рассрочка на лечение зубов
      Эстетическая стоматология
      Ортодонтия
      Терапия
      Эндодонтия
      Пародонтология
      Хирургическая стоматология
      Детская стоматология
      Правовая информация
      +7 (495) 021-94-04
      +7 (495) 021-94-04
      E-mail
      info@dhcentre.ru
      Адрес
      г. Москва, Пресненская набережная, 12
      Режим работы
      пн-сб 9:00-21:00
      Мы в соцсетях
      Купить подарочную карту Онлайн оплата Онлайн запись

      Заказать звонок
      info@dhcentre.ru
      г. Москва, Пресненская набережная, 12
      Купить подарочную карту Онлайн оплата Онлайн запись

      Исключительные права на материалы сайта www.dhcentre.ru в соответствии со ст. 1229 Гражданского кодекса РФ принадлежат их правообладателю. Любое использование данных материалов возможно только с письменного согласия правообладателя. При неправомерном использовании материалов сайта третьими лицами без вышеуказанного письменного согласия правообладателя влечет ответственность в соответствии с действующим законодательством РФ о защите исключительных прав. Информация на сайте носит исключительно ознакомительный характер. Все материалы и цены, размещенные на сайте, не являются публичной офертой, определяемой положениями ст. 437 ГК РФ.
      Мы используем файлы cookie (файлы с данными о прошлых посещениях сайта) для Вашего удобства и нормального функционирования сайта. Порядок обработки персональных данных содержится в Политике обработки персональных данных.

      © 2025 ООО "ДИ ЭЙЧ ЦЕНТР". ОГРН 1147746789057
      Версия для слабовидящих
      Услуги Врачи Запись Цены Контакты